Premium Only Content
This video is only available to Rumble Premium subscribers. Subscribe to
enjoy exclusive content and ad-free viewing.
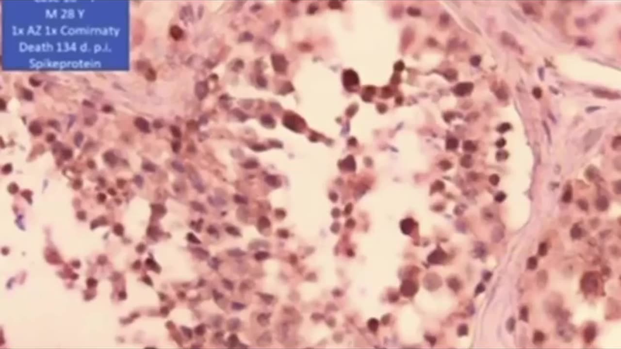
GERMAN PROFESSOR KILLED IN "ACCIDENT" AFTER SHARING HIS FINDINGS OF HIS RESEARCH
Loading comments...
-
LIVE
SpartakusLIVE
1 hour agoWZ Solos ONLY - Everything Else: BANNED || NEW Schedule Experiment
2,391 watching -
LIVE
LadyDesireeMusic
1 hour agoCooking Stream | Make Ladies Great Again
1,424 watching -
LIVE
LumpyPotatoX2
1 hour agoHostile Takeover | High-Stakes PvP - #RumbleGaming
133 watching -
2:03:42
The Connect: With Johnny Mitchell
1 day ago $22.44 earnedAmerican Vigilante Reveals How He Went To WAR Against The WORST Cartels In Mexico
104K10 -
LIVE
a12cat34dog
2 hours agoONE OF THE BEST REMAKES EVER :: Resident Evil 4 (2023) :: I GOT 100% ON EVERYTHING {18+}
153 watching -
19:31
Liberty Hangout
3 days agoAnti-Trumpers Repeat CNN Talking Points
185K229 -
19:53
Clintonjaws
4 hours ago $3.85 earnedThey Lied About Charlie Kirk - MAJOR UPDATE
12.2K13 -
LIVE
Midnight In The Mountainsâ„¢
1 hour agoArc Raiders w/ The Midnights | THE BEST LOOT RUNS HERE
97 watching -
LIVE
ladyskunk
2 hours agoBorderlands 4 with Sharowen Gaming, Rance, and Sweets! - Part 8
42 watching -
LIVE
S0lidJ
3 hours ago🟢Live -S0lidJ - Solos Arc Raiders
97 watching