Premium Only Content
This video is only available to Rumble Premium subscribers. Subscribe to
enjoy exclusive content and ad-free viewing.

The MYTH of the Teen Brain
6 months ago
47
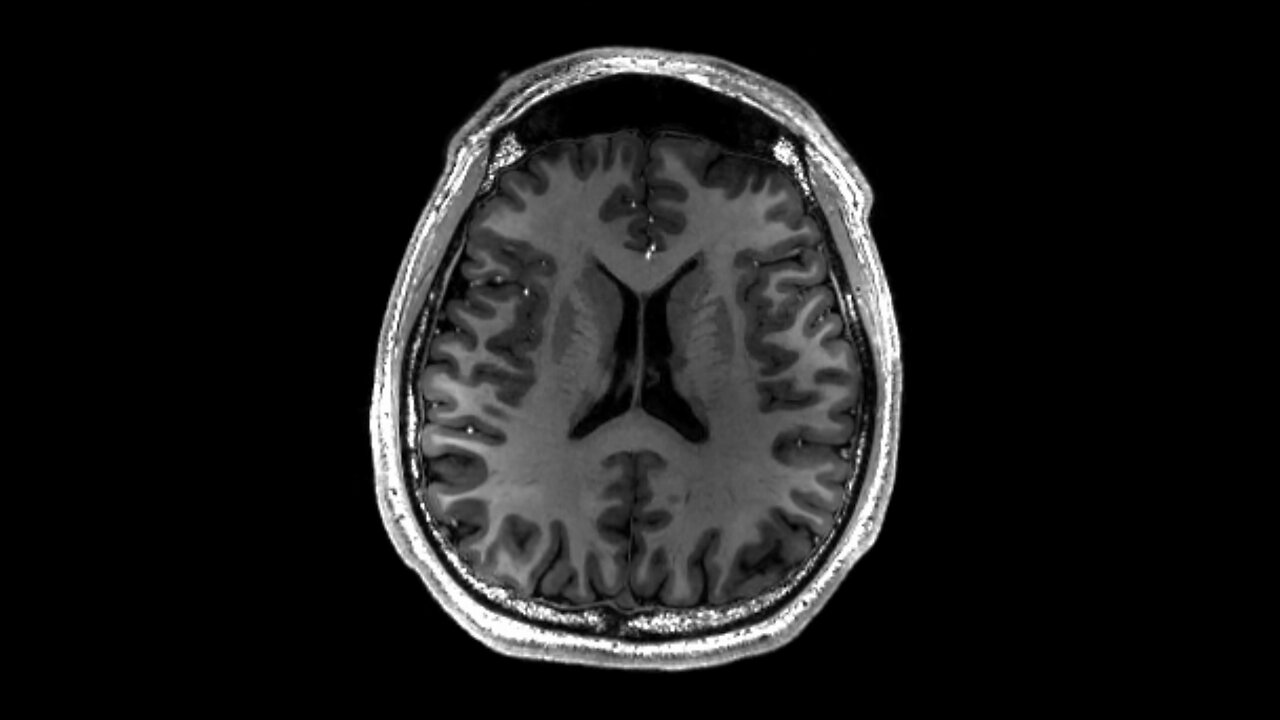
The brain DOES NOT mature at 25, but rather around a decade earlier, near the end of puberty. Most people are either finished or nearly finished with puberty by ages 15-16 years and to say that the brain takes a decade longer is ridiculous.
- The brain hits adult size by age 15
- At the same age, the brain also peaks in key functions such as memory and intelligence
- Puberty is also incidentally finished or nearly finished by age 15 in most people (males who start puberty later than average can grow into their late teens or even early 20s but in general, by age 15, puberty is either finished or nearly finished)
Loading comments...
-
1:59:20
The Charlie Kirk Show
2 hours agoChristians Under Siege + Shame! Shame! + AMA | O'Neill, Ahern | 10.3.2025
43K11 -
1:02:21
Dear America
1 hour agoEp 3 Graham Allen Show
7.97K4 -
3:01:23
Right Side Broadcasting Network
4 hours agoLIVE REPLAY: White House Press Secretary Karoline Leavitt Holds a Press Briefing - 10/3/25
40.5K26 -
1:46:35
Tucker Carlson
1 hour agoThe Occult, Kabbalah, the Antichrist’s Newest Manifestation, and How to Avoid the Mark of the Beast
3858 -
DVR
The White House
1 hour agoPress Secretary Karoline Leavitt Briefs Members of the Media, Oct. 3, 2025
2.3K6 -
2:01:12
The Culture War with Tim Pool
3 hours agoNigeria's Christian Genocide, Media Ignoring Atrocities | The Culture War Podcast
101K53 -
LIVE
Sean Unpaved
1 hour agoMLB DS Showdowns Set, 49ers-Rams TNF Recap, NFL/CFB Week 5 & 6 Picks!
80 watching -
3:10:53
iCkEdMeL
4 hours ago $1.80 earnedChicago Erupts in ICE Protest as Diddy Faces Judge’s Hammer
26.3K -
1:31:26
Steven Crowder
4 hours agoHegseth Makes the Military Great Again!
198K208 -
1:13:06
The Rubin Report
3 hours agoPress Gasps When Told Trump’s Brutal Plan for Layoff of Gov’t Workers with Dinesh D'Souza
50.5K24