Premium Only Content
This video is only available to Rumble Premium subscribers. Subscribe to
enjoy exclusive content and ad-free viewing.
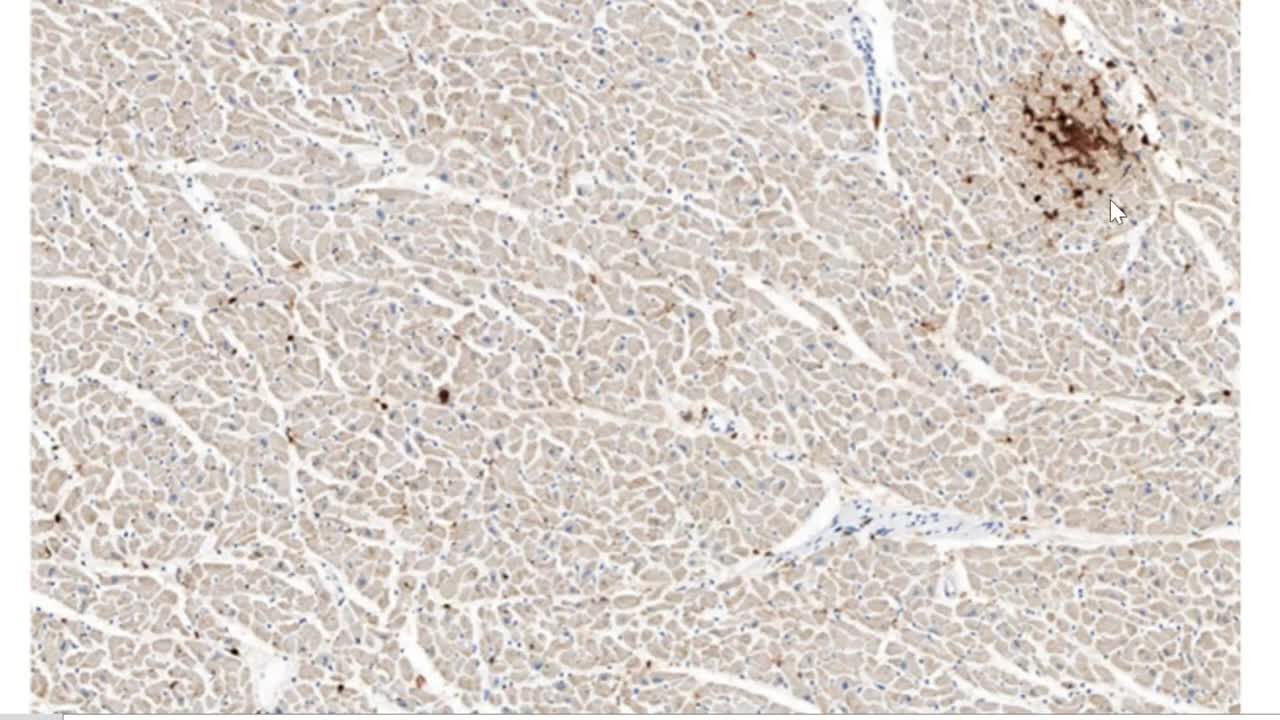
German autopsy photographs - Myocarditis from the jabs - Peer reviewed (Paper Below)
2 years ago
Loading 2 comments...
-
LIVE
Tundra Tactical
4 hours agoGlock Interview From Beyond The Grave//Whats the Future of Home Training??
633 watching -
LIVE
BlackDiamondGunsandGear
3 hours agoEBT Apocalypse? / Snap Down SHTF / After Hours Armory
83 watching -
14:05
Sideserf Cake Studio
14 hours ago $4.73 earnedHYPERREALISTIC HAND CAKE GLOW-UP (Old vs. New) 💅
18.9K3 -
28:37
marcushouse
16 hours ago $1.43 earnedSpaceX Just Dropped the Biggest Starship Lander Update in Years! 🤯
3.27K4 -
14:54
The Kevin Trudeau Show Limitless
3 days agoThe Hidden Force Running Your Life
65.5K11 -
LIVE
DLDAfterDark
3 hours agoIs The "SnapPocalypse" A Real Concern? Are You Prepared For SHTF? What Are Some Considerations?
103 watching -
19:58
TampaAerialMedia
14 hours ago $0.32 earnedKEY LARGO - Florida Keys Part 1 - Snorkeling, Restaurants,
3.32K7 -
1:23
Memology 101
2 days ago $1.73 earnedFar-left ghoul wants conservatives DEAD, warns Dems to get on board or THEY ARE NEXT
6.62K41 -
3:27:27
SavageJayGatsby
4 hours ago🔥🌶️ Spicy Saturday – BITE Edition! 🌶️🔥
41.3K -
26:09
Exploring With Nug
14 hours ago $9.96 earned13 Cold Cases in New Orleans What We Discovered Beneath the Surface!
41.2K14